現在地
  1. TOP
  2. 人間ドック・がん検診
  3. 検査項目
  4. 婦人科の検査

人間ドック・がん検診

婦人科の検査

図:2種類の子宮がん

2種類の子宮がん

子宮がんには、子宮の入り口近くにできる頸がんと、子宮の奥のほう(胎児の入るところ)にできる体がんがあります。我が国では子宮がんの約80%は頸部に発生し、残り20%のほとんどは体部に発生します。

その他、卵管、卵巣、腟や外陰部にできる「がん」もありますが、あまり多くありません。

検査の主な流れ

図:検査の主な流れ

検診について

写真:検診車(ちぐさ号)

主として市町村住民及び職域団体を対象に、検診車(ちぐさ号)による巡回検診と施設検診を行っています。

検診内容は、内診による診察とともに、細胞診を行っています。

女性のための土曜検診を実施しています。
詳しい日程はこちらをご覧ください。

精密検査について

子宮頸部の精密検査は、回転式の内診台上で最新の天井吊り下げ式コルポスコープを用いて拡大させながら詳細に子宮頸部の状態を調べ、更に細胞診・組織診を行います。

また、体部については当センターで開発した特殊な器具を用い、子宮内部より細胞と組織を採取しがんの早期発見を行っています。

また、子宮筋腫などの腹腔内異常は経膣超音波機器などを用いて、経験豊富な医療スタッフが詳しい検査を行います。

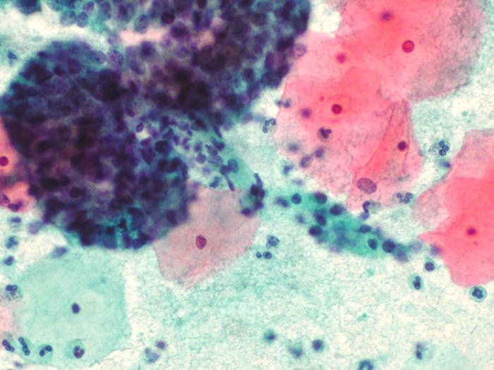
細胞診

細胞診 画像

採取された個々の細胞の形を顕微鏡で観察することで判定を行います。

広い範囲から細胞を採取し検査ができる特徴があります。

(左画像をクリックすると大きい画像をご覧いただけます)

組織診

組織診 画像

病変部が推定できる場合は、その部分を極めて小さく切り取り(組織片)顕微鏡で検査を行います。病変の広がりが確認できる優れた検査法です。

極めて少量の組織片で検査を行うので、検査に伴う痛みはほとんどなく、出血も少量ですぐに止まります。

(左画像をクリックすると大きい画像をご覧いただけます)

超音波検査

超音波検査 画像

検査に用いる程度では人体に無侵襲な超音波を使用し生体組織中の反射波から、臓器の断層像を得て子宮筋腫や卵巣疾患などの診断を行います。

(左画像をクリックすると大きい画像をご覧いただけます)

HPVウイルス検査 子宮頸がん発生に強く関与していると考えられているウイルスの検査を DNA検査の手法を用いHPVウイルスの検出と型まで特定しています。
コルポ診 コルポスコープという拡大鏡で子宮の入り口を詳細に観察する検査法です。組織片を採取する場合は、必須の検査となります。

精密検査の結果は、後日説明いたします。治療を必要とする場合にはそれぞれの方に適した医療機関を紹介しています。 なお集団検診から要精密検査になる率は、約3~4%であり、このうち「がん」と診断されるのは、精密検査受診者の約1~2%です(なお、集団検診受診者の約0.1~0.2%です)。

一方、子宮がんは、発がんまでの過程がかなり解明されてきていますので、検診により発見された異常所見のある受診者の方は、コンピュータシステムによる厳重な経過観察を行い、発がんする前に治療するという試みも行っています。

  • 診察医は、全て日本産科婦人科学会認定医です。
  • 使用器具は、全て滅菌及びディスポーザブル(使い捨て)製品を使用しています。
当センター検診への取り組みについて

人間ドック・がん検診